症例集 ー 与野駅徒歩二分 埼玉県さいたま市のインプラント治療なら入江歯科医院
採用情報
Recruit
インプラント治療
無料説明会
電話予約
(通話無料)
インプラント治療
無料説明会

症例集 case

症例集

入江歯科医院で「インプラント治療」「審美治療」「矯正治療」を受けられた患者様の症例写真を掲載しています。
治療前後の変化がすぐおわかりいただけるので、治療をご検討の方はぜひご参考ください。

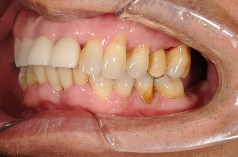
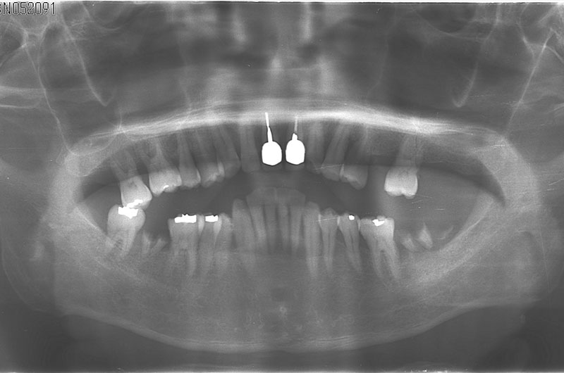
インプラント治療 ①

before
after
before
after
before
after
before
after
  • 年齢

    59歳

  • 性別

    男性

  • 治療期間

    8ヵ月

  • 費用

    887,250円

インプラント治療 ②

before
after
before
after
before
after
before
after
before
after
before
after
  • 年齢

    44歳

  • 性別

    女性

  • 治療期間

    24ヵ月

  • 費用

    ‭4,252,500円

インプラント治療 ③

before
after
before
after
before
after
  • 年齢

    86歳

  • 性別

    女性

  • 治療期間

    18ヵ月

  • 費用

    ‭2,840,400円

現在、症例準備中です。随時更新していきます。

CLINIC
TREATMENT
BLOG